Dents Qui Se Chevauchent

Dents Qui Se Chevauchent. Dents qui se chevauchent causes, prix et solutions Dentaly Les dents qui se chevauchent : causes, risques et solutions Dents qui se chevauchent chez l'adulte : quelles solutions ? Une fois les dents définitives de sorties, aux alentours de 12 ans, il est possible de faire appel à l'orthodontie corrective Ce type d'orthodontie pour les adultes dont les dents se chevauchent, propose une multitude de dispositifs, en fonction des besoins et du budget de.

Dents qui se chevauchent causes, prix et solutions Dentaly
Dents qui se chevauchent causes, prix et solutions Dentaly from www.dentaly.org

En fait, il existe de multiples causes de chevauchement des dents et il est important de connaître l'origine des causes, les conséquences si vous ne faites rien, les traitements pour corriger cette situation et les. La perte prématurée de dents de lait, créant des espaces dans lesquels les autres dents peuvent se déplacer.

Dents qui se chevauchent causes, prix et solutions Dentaly

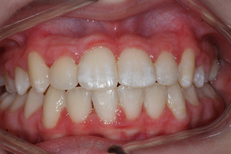
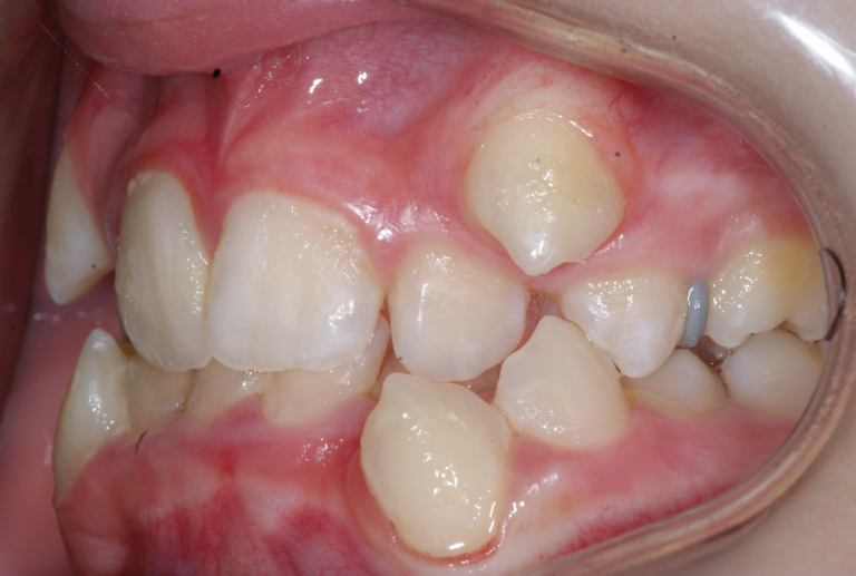
Les solutions pour soigner des dents qui se chevauchent Le chevauchement dentaire, aussi appelé encombrement dentaire ou malocclusion, est un problème fréquent qui affecte de nombreuses personnes, quel que soit leur âge. Si vous n'êtes pas convaincu par les méthodes traditionnelles, Dentaly.org vous recommande les gouttières invisibles

Dents qui se chevauchent causes, prix et solutions Dentaly. Si vous faites allusion au traitement Invisalign, il est vraisemblable que ce soit disponible en Guadeloupe Le plus connu et le plus répandu des dispositifs , c'est l'appareil métallique

Dents qui se chevauchent ? Quelles sont les solutions ? Aligneur Dentaire. Pourquoi mes dents se chevauchent ? Le chevauchement dentaire, ou dysharmonie dento-maxillaire (DDM), est un problème dentaire fréquent qui se produit lorsque les dents n'ont pas suffisamment de place pour s'aligner correctement.C'est comme si vous essayiez de mettre trop de choses dans une boîte trop petite ! Les principales causes peuvent être regroupées comme suit : Les bagues , collées sur la face externes des dents, agissent afin de les faire atteindre la position idéale , de façon rapide et efficace.